- Un număr tot mai mare de voluntari americani cer Congresului să finanțeze combaterea tuberculozei, o boală infecțioasă reemergentă.
- Scriitorul John Green a mobilizat sute de persoane în campania sa de conștientizare și presiune politică.
- Deși TB poate fi tratată, lipsa investițiilor în sănătatea publică riscă să ducă la o criză globală, cu milioane de decese în următorii ani.
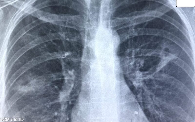
Pe fondul reducerilor semnificative ale finanțării pentru programele de sănătate publică locale, naționale și internaționale, tuberculoza (TB) – inclusiv formele rezistente la medicamente – riscă să revină în forță atât în SUA, cât și la nivel global, scrie The Guardian.
James Brookes, un specialist IT din Idaho, fără nicio legătură personală cu boala, a participat săptămâna aceasta la „TB Hill Day” în Washington D.C., unde, alături de alți 250 de voluntari din toate colțurile SUA, a cerut Congresului creșterea finanțării pentru combaterea…
